Cold injury of the knee and lower aspect of the leg after knee surgery and use of a cold therapy system

A 29-year-old woman presented with a 2-week history of painful lesions extending from the distal back aspect of her left thigh to both sides of the lower aspect of her leg. The patient was postoperative day 30 after left total knee reconstruction with stem cell–derived cartilage and autologous pretibial bone grafting for avascular necrosis of the proximal tibia.

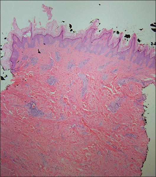
Exogenous Insulin-Derived Acanthosis Nigricans

Acanthosis nigricans presents as asymptomatic tan to dark brown velvety plaques usually on the posterior neck and intertriginous areas. It is often a cutaneous manifestation of insulin resistance. Histopathologically, lesions demonstrate hyperkeratosis, papillomatosis, acanthosis, and a thickened dermis. Acanthosis nigricans at the site of repeated insulin injections has been reported at least twice previously in the literature.1,2 The activation of insulinlike growth factor (IGF) receptors due

Skin Manifestations of Running

As the United States comes increasingly closer to being the heaviest nation on earth, many people are turning to exercise, especially running, to lose weight. Most runners, whether novice or professional, will have a skin disorder that may prompt them to seek medical attention. Although case reports and sports reviews have discussed, in a cursory fashion, the nature of these skin lesions, to our knowledge there has never been an extensive review of the literature that specifically addresses the skin diseases of runners. In this article, we present the epidemiology, origin, clinical characteristics, treatment, and prevention of skin diseases inherent to runners.